उत्तराखंड
07 वर्ष के बच्चे के फेफड़े में फंसे पेंच को निकालकर एम्स के चिकित्सकों ने दिया जीवनदान
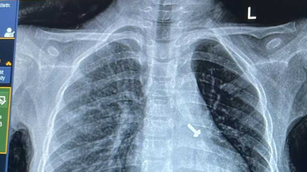
ऋषिकेश: अखिल भारतीय आयुर्विज्ञान संस्थान, ऋषिकेश के पल्मोनरी मेडिसिन विभाग की ओर से संचालित ब्रोंकोस्कोपी प्रयोगशाला में एक 07 वर्ष के बच्चे के फेफड़े में फंसे पेंच को निकालकर चिकित्सकों ने उसे जीवनदान दिया है। बच्चा अब पूरी तरह से स्वस्थ है।
पल्मोनरी मेडिसिन विभाग की आचार्य डॉ. रुचि दुआ के अनुसार हमारे विभाग को संस्थान के बालरोग विभाग के चिकित्सक डॉ. व्यास कुमार राठौड़ की ओर से जानकारी प्राप्त हुई कि भरत नगर, रुड़की हरिद्वार निवासी एक 07 वर्ष के बच्चे रेहान को उसके परिजन ओपीडी में परीक्षण के लिए लाए हैं, जिसकी जांच में ज्ञात हुआ है कि बच्चे के फेफड़े में पेंच फंसा हुआ है ।
परिजनों ने बालरोग विभाग के चिकित्सक को अवगत कराया कि रेहान को बीते 15 दिनों से उल्टी ओर खांसी की शिकायत है, जिसके मद्देनजर वह बच्चे को उचित इलाज के लिए एम्स, ऋषिकेश लेकर आए हैं।
बालरोग विशेषज्ञ डॉ. व्यास कुमार राठौड़ के मुताबिक बच्चे की कुछ प्रारंभिक जांचें कराई गईं, जिसमें उसकी छाती के एक्स-रे एवं सीटी स्कैन में बच्चे के फेफड़े में एक पेंच दिखाई दिया है । इस विषय में चिकित्सक द्वारा बच्चे के अभिभावकों से पूछे जाने पर उन्हें बताया गया कि बच्चे ने घर में खेल-खेल में पेंच निगल लिया, जिसका पता परिजनों को नहीं लग पाया ।
बाल रोग विभाग से बच्चे से संबंधित उक्त जानकारी मिलने पर पल्मोनरी मेडिसिन विभाग की विशेषज्ञ चिकित्सक आचार्य डॉ. रुचि दुआ के साथ उनकी टीम के सदस्य डॉ. प्रखर शर्मा, डॉ. दीपांश गुप्ता, डॉ. ऋत्विक सिंगला, डॉ. अश्वथी साबू के अलावा बाल रोग विभाग के विशेषज्ञ डॉ. व्यास कुमार राठौड़, डॉ. मान सिंह, डॉ. श्रीजन, एनेस्थीसिया विभाग के विशेषज्ञ डॉ. प्रियंका गुप्ता, डॉ. रीना , डॉ. अजहर, बाल शल्य चिकित्सा विभाग की विशेषज्ञ डॉ. शौर्या व रेडियोलॉजी विभाग के विशेषज्ञ डॉ. राहुल देव की देखरेख में पल्मोनरी मेडिसिन विभाग की ब्रोकोस्कोपी प्रयोगशाला में Flexible Bronchoscopy के माध्यम से बच्चे के फेफड़े से सफलतापूर्वक पेंच को निकाल लिया गया । अब बच्चा पूरी तरह से स्वस्थ एवं सुरक्षित है ।
क्या कहते हैं विभागाध्यक्ष
पल्मोनरी मेडिसिन विभाग के आचार्य एवं विभागाध्यक्ष डॉ. गिरीश सिंधवानी के अनुसार विभाग में इससे पूर्व भी विभाग द्वारा कई जटिल मामलों का संयुक्त चिकित्सकीय दल के साथ सफलतापूर्वक निस्तारण कर मरीजों को राहत प्रदान की जा चुकी है। विभाग की ब्रोंकोस्कोपी प्रयोगशाला में मरीजों के फेफड़ों में फंसे बल्ब के फिलामेंट एवं पिनट्स के टुकड़े के साथ-साथ अन्य वस्तुओं को भी ब्रोंकोस्कोपी के माध्यम से निकाल कर मरीजों को स्वास्थ्य लाभ दिया गया है ।
क्या कहती हैं निदेशक एम्स
संस्थान की कार्यकारी निदेशक प्रोफेसर (डॉ.) मीनू सिंह ने बताया कि एम्स,ऋषिकेश में मरीजों को विश्वस्तरीय स्वास्थ्य सेवाएं मुहैया कराई जा रही हैं। संस्थान का प्रयास है कि किसी भी जटिल स्वास्थ्य संबंधी मामले के लिए मरीजों को अन्य राज्यों के स्वास्थ्य संस्थानों में नहीं जाना पड़े, इसके लिए जरुरी स्वास्थ्य सुविधाएं सततरूप से उपलब्ध कराई जा रही हैं। निदेशक के मुताबिक हमारे संस्थान में विशेषज्ञों की कोई कमी नहीं है। उन्होंने सभी अभिभावकों को अपने बच्चों को अपनी निगरानी में रखने की अपील भी की है, जिससे इस प्रकार की घटनाओं खासकर अबोध बच्चों द्वारा इस तरह की वस्तुएं निगलने की अप्रिय घटनाओं की रोकथाम हो सके।























