Stories By देहरादून टुडे न्यूज़ डेस्क

उत्तराखंड
राज्य निगम कर्मचारी अधिकारी महासंघ के आह्वान पर विधायक निवास में थाली बजाकर शासन को सचेत किया
February 19, 2025देहरादून: पूर्व निर्धारित कार्यक्रम के अनुसार र दैनिक वेतन/संविदा/विशेष श्रेणी/उपनल/कार्यप्रभारित कार्मिकौ को नियमितीकरण शीघ्र करने व...

उत्तराखंड
नन्दप्रयाग कोठियालसैंण चमोली बाईपास सड़क सुधारीकरण को वित्तीय स्वीकृति…
February 19, 2025चमोली: मुख्यमंत्री पुष्कर सिंह धामी ने चारधाम यात्रा बैठक में यात्रा मार्गों के साथ साथ वैकल्पिक...

उत्तराखंड
रेखा गुप्ता के हाथ में होगी दिल्ली की कमान, जानें कौन है दिल्ली की नई मुख्यमंत्री
February 19, 2025दिल्ली में बीजेपी सरकार की कमान अब महिला के हाथ में होगी। बीजेपी विधायक दल ने...

उत्तराखंड
मुख्यमंत्री धामी से चीफ ऑफ डिफेंस स्टाफ (CDS) जनरल अनिल चौहान ने शिष्टाचार भेंट की…
February 19, 2025देहरादून: मुख्यमंत्री पुष्कर सिंह धामी से बुधवार को विधानसभा देहरादून में चीफ ऑफ डिफेंस स्टाफ (CDS)...

उत्तराखंड
मुख्यमंत्री धामी से चीफ ऑफ डिफेंस स्टाफ (CDS) जनरल अनिल चौहान ने शिष्टाचार भेंट की…
February 19, 2025देहरादून: मुख्यमंत्री पुष्कर सिंह धामी से बुधवार को विधानसभा देहरादून में चीफ ऑफ डिफेंस स्टाफ (CDS)...

उत्तराखंड
बजुर्ग फरियादियों को गंतव्य स्थल तक पंहुचा रहा है जिला प्रशासन का ‘सारथी’
February 18, 2025देहरादून: जिलाधिकारी सविन बसंल ने अपनी शिकायतों केे निस्तारण हेतु जिला कार्यालय में आने वाले आगन्तुकों...

उत्तराखंड
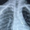
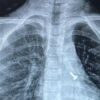
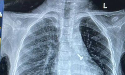
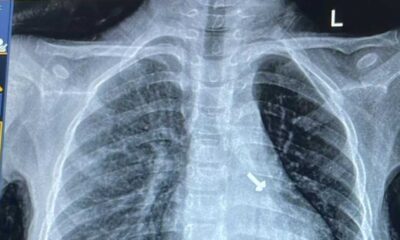
07 वर्ष के बच्चे के फेफड़े में फंसे पेंच को निकालकर एम्स के चिकित्सकों ने दिया जीवनदान
February 18, 2025ऋषिकेश: अखिल भारतीय आयुर्विज्ञान संस्थान, ऋषिकेश के पल्मोनरी मेडिसिन विभाग की ओर से संचालित ब्रोंकोस्कोपी प्रयोगशाला...

उत्तराखंड
07 वर्ष के बच्चे के फेफड़े में फंसे पेंच को निकालकर एम्स के चिकित्सकों ने दिया जीवनदान
February 18, 2025ऋषिकेश: अखिल भारतीय आयुर्विज्ञान संस्थान, ऋषिकेश के पल्मोनरी मेडिसिन विभाग की ओर से संचालित ब्रोंकोस्कोपी प्रयोगशाला...

उत्तराखंड
मुख्य सचिव की अध्यक्षता में स्टेट काॅओपरेटिव डेवलपमेंट कमेटी की बैठक…
February 18, 2025देहरादून: सीएस श्रीमती राधा रतूड़ी ने राज्य के स्थानीय अनाज मंडुआ की भांति झंगौरा के लिए...

उत्तराखंड
पीएनबी ने इंडो तिब्बत बॉर्डर पुलिस के साथ एमओयू पर किए हस्ताक्षर…
February 18, 2025देहरादून: देश के अग्रणी सार्वजनिक क्षेत्र के बैंक, पंजाब नैशनल बैंक (पीएनबी) ने आईटीबीपी के साथ...




















